ads/responsive2.txt

Acute Idiopathic Blind Spot Enlargement Syndrome

To report the multifocal electroretinographic findings of a patient with acute idiopathic blind spot enlargement syndrome recorded at 2 weeks and 4 months after the onset.

Acute idiopathic blind spot enlargement syndrome. Other features include a central or paracentral scotoma. Acute idiopathic blind spot enlargement syndrome. Medical record review of 27 patients with aibse without sufficient optic nerve head swelling to cause blind spot enlargement seen in 2 academic neuro ophthalmology units.

The authors report four cases of acute idiopathic. We examined seven patients who had a syndrome of symptomatic monocular blind spot enlargement without optic disc edema. Methods medical record review of 27 patients with aibse without sufficient optic nerve head swelling to cause blind spot enlargement seen in 2 academic neuro ophthalmology units.

Xiaocui liu bing chen maonian zhang houbin huang. Acute idiopathic blind spot enlargement syndrome may represent a form of the same disease process. Acute idiopathic blind spot enlargement syndrome pisit preechawat m d virongrong surushniti m d.

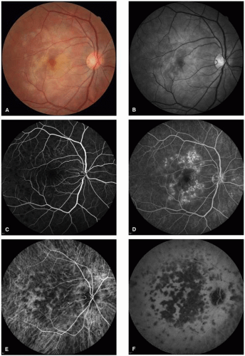
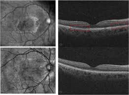
An enlarged blind spot is typically seen. Clinical features and differential diagnosis of acute idiopathic blind spot enlargement syndrome article abstract authors. A 35 year old patient underwent static visual field humphrey 30 2 and multifocal electroretinogram testing at 2 weeks and 4 months after the onset of acute idiopathic blind spot enlargement.

Objective to describe the clinical findings in patients with acute idiopathic blind spot enlargement aibse. Clinical features and natural history of the acute idiopathic enlarged blind spot syndrome ophthalmology. Overlap among acute idiopathic blind spot enlargement syndrome and other conditions.

Hypocyanescent spots typically outnumbering the clinical lesions are seen. Prolonged retinal dysfunction revealed by multifocal electroretinogram technique. Kondo n kondo m miyake y.

All patients were women aged between 19 and 53 years. The scotoma in each patient was absolute measured 15 to 20 in diameter had steep. Two patients had previous blind spot enlargement that resolved over several months.

Affiliation 1 casey eye institute. Results all patients were women aged between 19 and 53 years.

Source : pinterest.com