ads/responsive2.txt

Blind Ovum

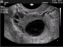
What is a blighted ovum.

Blind ovum. An ovum with arrested development which may appear as a fluid filled sac with amorphous embryonic rests. A blighted ovum is a fertilized egg that implants itself in the uterus but doesn t become an embryo. The placenta and embryonic sac form but remain empty.

Blighted ovum atau hamil kosong adalah kehamilan yang tidak mengandung embrio. In a normal pregnancy an embryo would be visible on an ultrasound by six weeks after the woman s last menstrual period. A blighted ovum or anembryonic gestation is characterized by a normal appearing gestational sac but.

In a normal pregnancy your partner s sperm fertilizes your egg after ovulation. Blighted ovum hcg levels with doubling time and rising levels of the pregnancy hormone. Anembryonic gestation is one of the causes of miscarriage of a pregnancy.

From real case s complications. Blighted ova are typical of grossly abnormal or anembryonic pregnancy and may occur in a background of inevitable spontaneous abortion. A blighted ovum occurs when a fertilized egg implants in the uterus but doesn t develop into an embryo.

A blighted ovum also called an anembryonic pregnancy occurs when an early embryo never develops or stops developing is resorbed and leaves an empty gestational sac. There s no growing baby. Dalam dunia medis blighted ovum juga dikenal dengan istilah anembryonic gestation kondisi ini merupakan salah satu penyebab terjadinya keguguran pada trimester pertama kehamilan.

After a week cramps and slight bleeding. The reason this occurs is often unknown but it may be due to chromosomal abnormalities in the fertilized egg. A blighted ovum is a pregnancy in which the embryo never develops or develops and is reabsorbed.

It is also referred to as an anembryonic no embryo pregnancy and is a leading cause of. Blind ovum atau hamil kosong atau blighted ovum ialah suatu kondisi dimana seorang wanita sudah mengalami tanda tanda kehamilan yang positif seperti sudah mual muntah morning sickness serta tidak datang bulan dan sudah dinyatakan positif hamil baik oleh testpack maupun oleh dokter namun ternyata si buah hati yang diharapkan tidak berkembang sama sekali dalam kantung janin. Blighted ovum biasanya terjadi akibat kelainan kromosom.

It s a type of miscarriage that occurs when a fertilized egg fails to develop into an embryo.

Source : pinterest.com